Treatment Gallery
CASE 1 of 21 – 10 Porcelain veneers. Temporary veneers are fitted mid treatment, which gives the patient the chance to create the smile that they desire, and that suits them, and enables them to have some input into the final result.
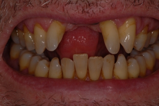
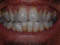
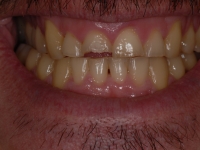
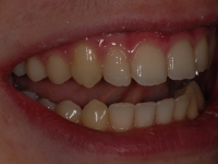
CASE 2 of 21 ~ 10 Porcleain veneers to repair badly broken, filled and discoloured teeth.
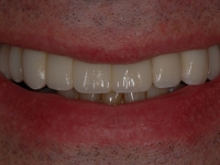
CASE 3 of 21 ~ A mixture of crowns and veneers to replace old metal crowns with all ceramic crowns which have a very natural look.
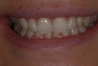
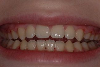
CASE 4 of 21 ~ 10 Upper porcelain veneers and three lower veneers. We use some of the best dental technicians in the country to make our veneers and crowns. This can give you a very natural smile, as in this case.
CASE 5 of 21 ~ Orthodontics followed by ten porcelain veneers. The middle photo shows after the orthodontic phase. This patient desired very white teeth which can only be achieved with veneers.
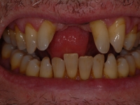
CASE 6 of 21 ~ 10 Upper porcelain veneers and 10 lower porcelain veneers, showing the temporary upper teeth.
CASE 7 of 21 ~ 10 Porcelain veneers and whitening the lower jaw, showing the temporary upper teeth.
CASE 8 of 21 ~ 10 Porcelain veneers and whitening the lower jaw, showing the temporary upper teeth.
CASE 9 of 21 ~ 10 Upper porcelain veneers and 10 lower porcelain veneers, showing the temporary upper teeth. Unusually this patient shows off both her upper and lower teeth when she smiles.
CASE 10 of 21 ~ Orthodontics, implants, 10 upper veneers, 2 lower veneers and whitening lower teeth. At The Parkstone Dental Practice we can carry out all this treatment at the same location.
CASE 11 of 21 ~ 6 restorations (fillings) on the upper teeth. Simple treatment can have amazing results.
CASE 12 of 21 ~ 10 Porcelain veneers and whitening of lower teeth.
CASE 13 of 21 ~ 3 veneers and 1 crown. Changing the shape of your teeth can radically change your appearance.
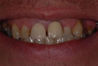
CASE 14 of 21 ~ Multiple bridges and crowns replaced failing and broken crowns and missing teeth.
CASE 15 of 21 ~ 10 Porcelain veneers. The middle photo shows a model with wax added to shape the teeth. This gives you an idea of the final result before we touch your teeth.
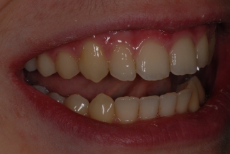
CASE 16 of 21 ~ 10 Porcelain veneers and crowns to replace badly decaying teeth.
CASE 17 of 21 ~ Clearstep orthodontics.
CASE 18 of 21 ~ Professional tooth whitening and a restoration(filling). Very simple treatment can have amazing result.
CASE 19 of 21 ~ Professional tooth whitening.
CASE 20 of 21 ~ Bridges and crowns to replace a large number of missing teeth.
CASE 21 of 21 ~ 10 Porcelain veneers.
